
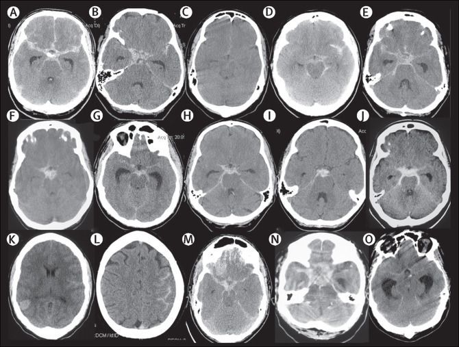
Subarachnoid hemorrhage refers to bleeding in the subarachnoid space. Patient may present with following signs and symptoms: - unconsciousness - diplopia - nausea - vomiting - severe headache - ptosis - dysphasia - stiff neck - seizures - photosensitivity - difficulty in concentrating - confusion' Reference: https://www.hopkinsmedicine.org/health/conditions-and-diseases/subarachnoid-hemorrhage Image via: https://www.thelancet.com/article/S0140-6736(16)30668-7/fulltext