
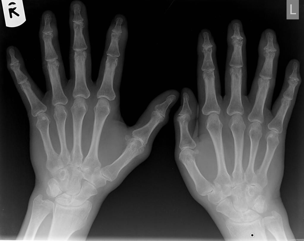
Pencil-in-Cup deformity may be demonstrated in individuals with psoriatic arthritis. This deformity is referred to as 'Pencil-in-Cup' since one bone is eroded to become sharp and pointy which resides in a cup-shaped bone. Reference: https://www.verywellhealth.com/pencil-in-cup-deformity-5193284#:~:text=The%20term%20%E2%80%9Cpencil%2Din%2Dcup%E2%80%9D%20describes%20what%20is,and%20sharpened%20like%20a%20pencil. Image via: https://www.wikidoc.org/index.php/Psoriatic_arthritis_x_ray