
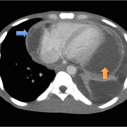
One of the most dreaded complications of tuberculosis is tuberculous pericarditis. The pericardium is usually involved via hematogenous route. Signs and symptoms of pericardial tuberculosis are often vague and difficult to discern. Common features are fever, diastolic sounds, fatigue, cough, and chest pain, Reference: https://www.ahajournals.org/doi/full/10.1161/circulationaha.105.543066 Image via: https://www.eurorad.org/case/13351