MEDizzy
MEDizzy
dF
daniel Fernandezover 7 years ago
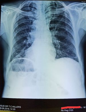
DEXTROCARDIA with SITUS INVERSUS

DEXTROCARDIA with SITUS INVERSUS

the patient came to the hospital with the migrating pain at hemithorax dextra

18
Top rated comment
over 7 years ago

Situs inversus totalis....

Other commentsSign in to post comments. You don't have an account? Sign up now!
over 7 years ago

Kartagener syndrome

over 7 years ago

Situs inversus

Recent MCQs















Show more MCQs

Recent flashcard sets















Show more flashcards