
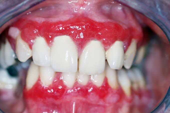
Mucous membrane pemphigoid (MMP) is a heterogeneous group of chronic, autoimmune subepithelial blistering diseases which is characterized by blistering lesions that primarily affect the various mucous membranes of the body. Oral mucosa, the site of most frequent involvement, often does not show evidence of scarring. Desquamative gingivitis which is the friability of gingiva with erosions, is a common finding at the interdental papillae. However, erosions can occur throughout the oropharyngeal mucosa. Ophthalmic involvement is also common. Therefore, even if patients do not complain of eye symptoms, the conjunctiva should be examined. Any signs of conjuntival erythema and inflammation should be further evaluated by an ophthalmologist. By: https://www.dermatologyadvisor.com/home/decision-support-in-medicine/dermatology/mucous-membrane-pemphigoid-mucous-membrane-cicatricial-pemphigoid-cicatricial-pemphigoid-anti-epiligrin-cicatricial-pemphigoid-benign-mucous-membrane-pemphigoid-benign-mucosal-pemphigoid/