
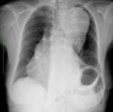
Ortner’s syndrome is also known as cardiovocal syndrome. It refers to the hoarseness of sound as a consequence of cardiovascular disorder. The enlarged cardiac structure, most commonly left atrial hypertrophy, induces mechanical compression of left recurrent laryngeal nerve, thereby causing hoarseness of sound. Reference: https://en.wikipedia.org/wiki/Ortner%27s_syndrome Image via: https://radiopaedia.org/articles/ortner-syndrome
Very interesting, explains the different heart sounds more clearly. Thank you❤