MEDizzy
MEDizzy
Kh Arman
Kh Armanover 7 years ago
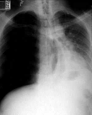
Chest x ray of a patient

Chest x ray of a patient

Diagnosis

551
Top rated comment
over 7 years ago

Tension pneumothorax

Other commentsSign in to post comments. You don't have an account? Sign up now!
over 7 years ago

Ptx?

over 7 years ago

Tension pneumotorax

over 7 years ago

Ptx

over 7 years ago

Answer plz

over 7 years ago

Cardiomegally

over 7 years ago

tension pneumothorax

over 7 years ago

It is tension pneumothorax

over 7 years ago

Left pumonary collapse

over 7 years ago

Pneumothorax.....the air filled lung cavity looks jet black

over 7 years ago

Pleurisy

over 7 years ago

It is tension ptx

12

Recent MCQs















Show more MCQs

Recent flashcard sets















Show more flashcards