Feed
Library
Learning
Discuss
Leaderboard
Journal
Sign in
Login
Sign up
Sign in
Feed
Library
Learning
Discuss
Leaderboard
Journal
DT
Dr Taha Mohame
over 7 years ago
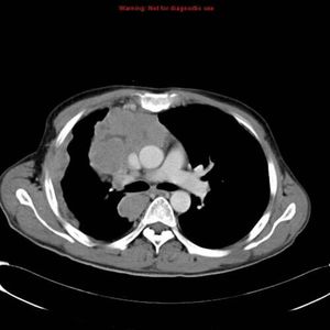
Dysphagia
Cough
Dyspnea
Dysphagia
552
2
1
Other comments
Sign in
to post comments. You don't have an account?
Sign up now!
Amithabh Anand
over 7 years ago
Sarcoidosis..?
0
Reply
Negar
over 7 years ago
Lung cancer ?
0
Reply
Related posts
Lymphocytosis
Causes of Dyspnea
DRY COUGH
Common causes of dry cough
How to get rid of cough?
Tips to avoid cough
Dyspnea
Dyspnea
signs of dyspnea
Dyspnea treatment
Recent MCQs
Show more MCQs
Recent flashcard sets
Show more flashcards
Feed
Learn
Add
Search
Discuss