Feed
Library
Learning
Discuss
Leaderboard
Journal
Sign in
Login
Sign up
Sign in
Feed
Library
Learning
Discuss
Leaderboard
Journal
Zunaira saleh
about 1 year ago
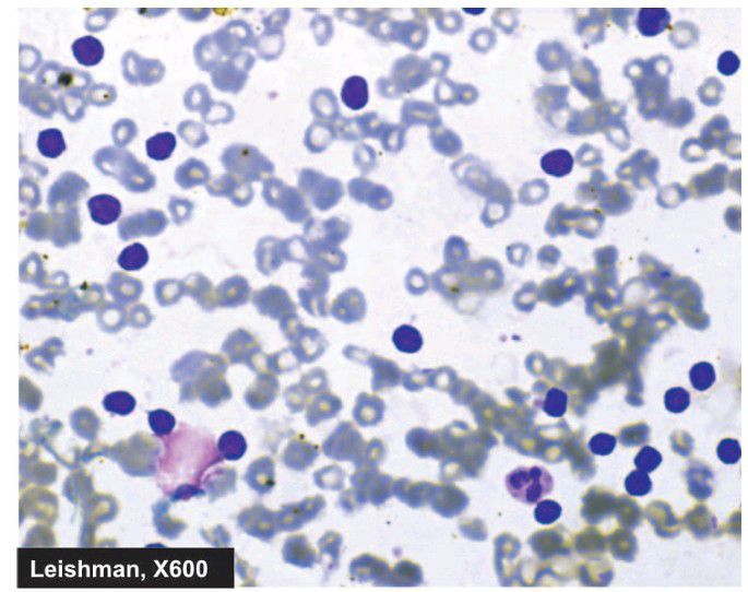
Lymphocytosis
Marked peripheral blood lymphocytosis in whooping cough.
Cough
Lymphocytosis
Whooping
1
0
0
Other comments
Sign in
to post comments. You don't have an account?
Sign up now!
Related posts
Symptoms of Legionnaires' disease.
Symptoms of Flu (Influenza)
Symptoms of Ear infection.
Treatment for Cystic fibrosis
Chronic Cough- Causes
34y/o female chest xray
DRY COUGH
Common causes of dry cough
How to get rid of cough?
Tips to avoid cough
Recent MCQs
Show more MCQs
Recent flashcard sets
Show more flashcards
Feed
Learn
Add
Search
Discuss