
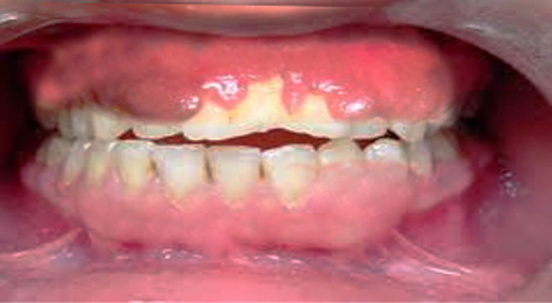
Gingival overgrowth is a side effect of various medications including antiepileptics (phenytoin, sodium valproate, phenobarbitone, vigabatrin, ethosuximide), immunosuppressants (cyclosporin, tacrolimus, sirolimus) and Calcium channel blockers (nifedipine, amlodipine, verapamil, diltiazem). Management involves withdrawal and replacement of the offending drug, maintenance of good oral hygiene and anti inflammatory, antibiotics and antifungal drugs. If medical treatment does not resolve, surgery may be required. The options include laser, electrocautery, gingivectomy and periodontal flap surgery. Source: https://www.statpearls.com/ArticleLibrary/viewarticle/34282