
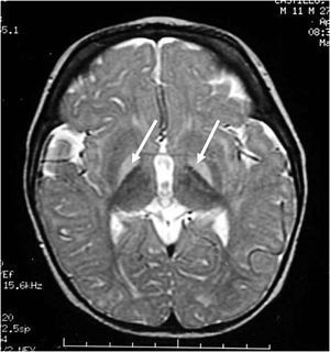
Kernicterus is a rare kind of preventable brain damage that can happen in newborns with jaundice. Jaundice is a yellow coloring of the skin and other tissues that affects about 60%-80% of infants in the United States. It happens when babies build up too much of a chemical called bilirubin in their blood. Normally, this condition goes away on its own. It’s only when the bilirubin level stays too high and isn’t treated that jaundice becomes kernicterus and causes brain damage.