
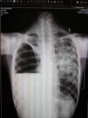
Abcent rt lung , rt lung dysplasia é (pleural effusion , big abcess or cyst). Lt lung fibrosis or intistitial lung disease
Pleural effusion right lung. And interstetial fibrosis or pneumonitis in left lung.
🧐getting a diagnosis from the plain radiograph only is definitely tricky. Right lung show pleural effusion(pleural disease) and air trapping (bronchial disease) with upper lobe collapse. Left lung gives an impression of hyper inflation with patchy infiltrates in upper lobe (parenchymal disease) a c t scan of the chest may give better evaluation
Tb left side (milliary patern) , right side fibrosis plus haemo-neumotorax 50% aprox