
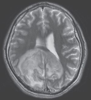
A 31-year-old man from El Salvador, recently diagnosed with HIV/AIDS, presented to the emergency department with headache, confusion, gait instability, and fever. Brain MRI showed a large mass in the right parietal and occipital lobes. Brain aspirate identified Trypanosoma cruzi. What vector is likely responsible for transmission of this protozoa to this patient? a) Anopheles mosquito b) Triatomine bug c) Ixodes tick d) Phlebotomine sand fly e) Tsetse fly source: nejm.org
Its commonly caused by the “kissing bug “ which is a member of triatomine family