MEDizzy
MEDizzy
Zunaira saleh
Zunaira salehabout 1 year ago
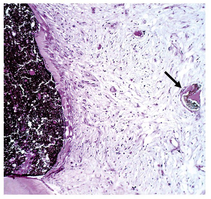
Human pulp capped with calcium hydroxide cement

Human pulp capped with calcium hydroxide cement

. Observation period: 70 days. A thin bond of hard tissue lined by cells is covering most of the exposure site (rank B). Calcified tissue in relation to displaced calcium hydroxide cement particles (arrow)

0
Other commentsSign in to post comments. You don't have an account? Sign up now!

Recent MCQs















Show more MCQs

Recent flashcard sets















Show more flashcards