MEDizzy
MEDizzy
Muhammed Gahmey
Muhammed Gahmeyover 2 years ago
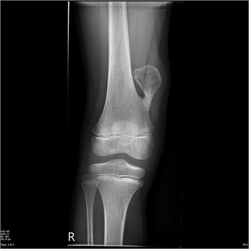
✴️Osteochondroma

✴️Osteochondroma

🔸Osteochondroma is an overgrowth of bone and cartilage close to the metaphysis of long bone . 🔸 It's the most common benign tumor of bone. 🔸It usually affects people between 10_30 yo. 🔸Affects the two genders at the same rate. . .

35
Other commentsSign in to post comments. You don't have an account? Sign up now!

Recent MCQs















Show more MCQs

Recent flashcard sets















Show more flashcards