
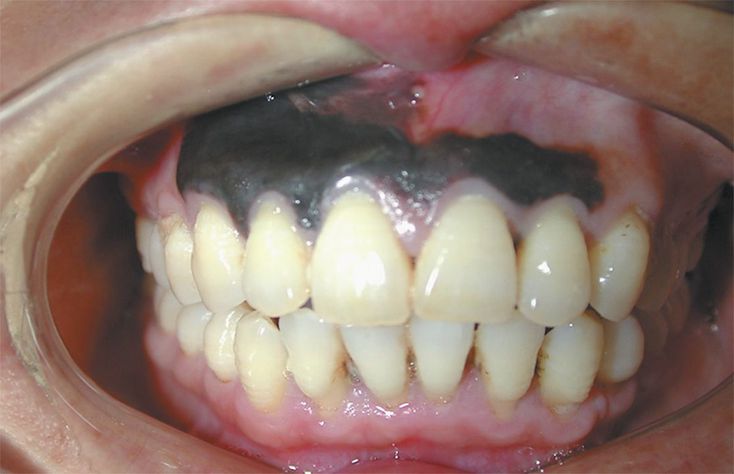
An otherwise healthy 45-year-old man presented with a 4-week history of nonpainful discoloration of the maxillary gingiva. He had no history of pigmented skin lesions. Intraoral examination showed areas of the gingiva that were black. The lesion was a pigmented macule, 1.5 cm by 4 cm in greatest dimension, with asymmetric and irregular borders and colors. Histopathological examination revealed an infiltrating lentiginous melanoma. Oral melanoma is a rare neoplasm. Exposure to the sun is clearly linked to cutaneous melanoma but is not clearly associated with oral melanoma. The patient underwent partial maxillectomy with 2-cm margins, but he declined adjuvant radiotherapy and chemotherapy. No pathologic lymph nodes were found. At follow-up 6 months after surgery, there were no signs of tumor recurrence.