
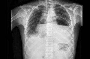
A 37-year-old man on regular haemodialysis for end-stage renal disease presented with progressive dyspnoea and orthopnoea 4 days after nephrectomy to control hypertension. What is the cause of this abnormal chest radiograph? 1) Gastric torsion 2) Achalasia 3) Pneumopericardium 4) Hiatal hernia