
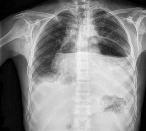
A 37-year-old man on regular haemodialysis for end-stage renal disease presented with progressive dyspnoea and orthopnoea 4 days after nephrectomy to control hypertension. What is the cause of this abnormal chest radiograph? A) Gastric torsion B) Achalasia C) Pneumopericardium D) Hiatal hernia
First of the chest x-ray don't seen marker of right and left ........the left side of loss the lung volume this case a pneumopericardium
You can see the gastric bubble, of the fundus portion of the stomach on the left side.