
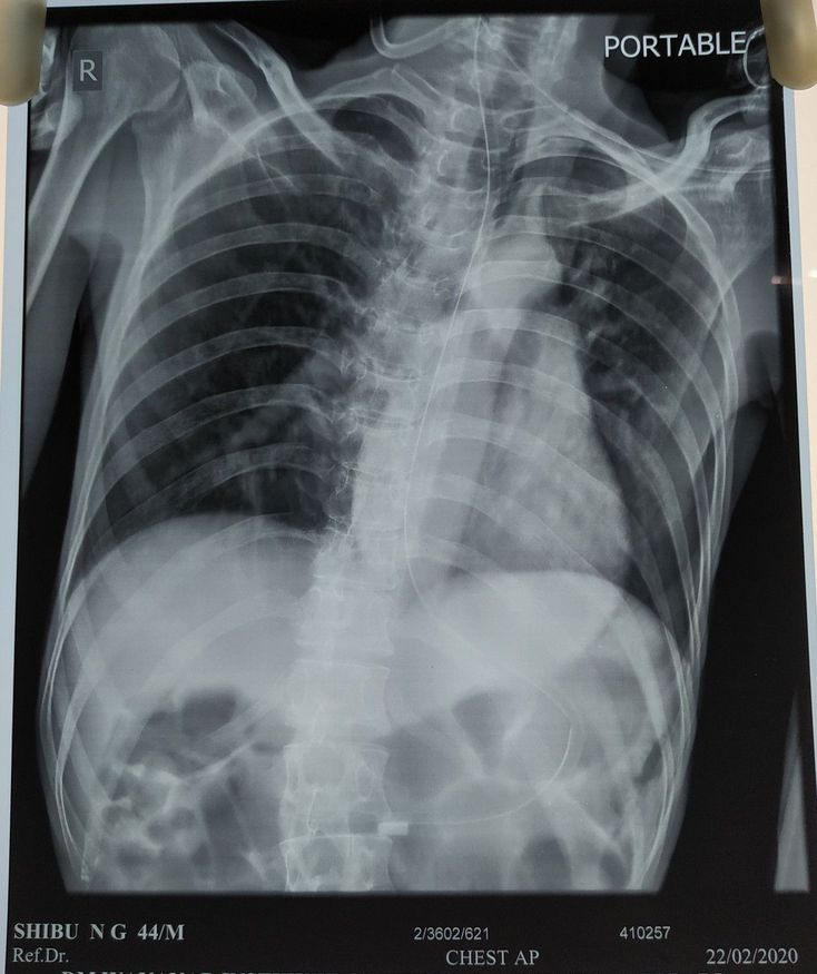
A 45 yr old male or , who is a k/c of ALS with Bulbar dysfunction since 5 years, now presented with breathing difficulty since one day . Pt also c/o fever , intermittent type since one day . Past history of stopping of taking medication since last 1 year . No h/o DM, HTN, Seizure , Thyroid dysfunction .
I think some patchy infiltration.maybe a kind of TB. Aortic knob its a little big i think
Yeah, The pt was diagnosed with Aspiration pneumonia and currently under treatment . Thanks for pointing your findings doctor.