
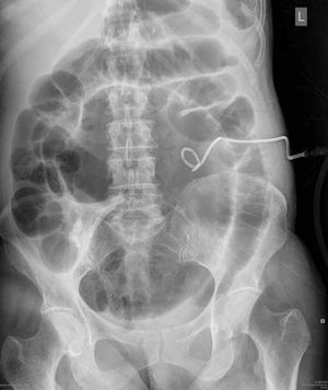
A 59-year-old woman is admitted to hospital after developing an infection of a non-functioning left kidney, Intravenous antibiotics are given and a nephrostomy tube is inserted. During her recovery she starts to develop a distended abdomen and complains of nausea and abdominal pain. An abdominal film is requested: What is the cause of the abdominal distension? A-Bowel perforation B-Intussusception C-Bacterial peritonitis D-Caecal volvulus E-Subcutaneous emphysema