Feed
Library
Learning
Discuss
Leaderboard
Journal
Sign in
Login
Sign up
Sign in
Feed
Library
Learning
Discuss
Leaderboard
Journal
SH
Sadbean Hossain
over 1 year ago
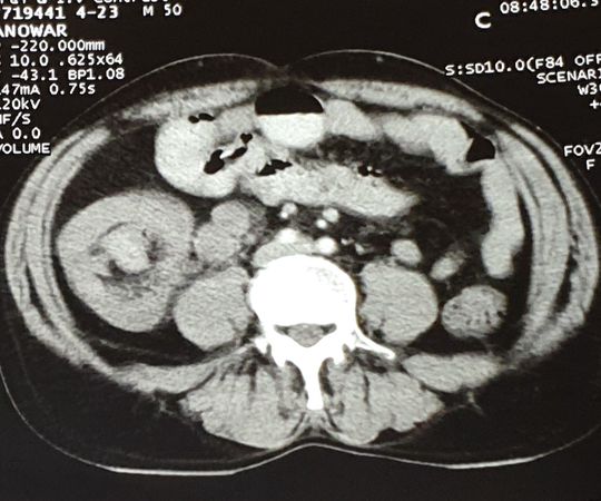
Intussusception
Malignancy
Adult
Intussusception
18
0
12
Other comments
Sign in
to post comments. You don't have an account?
Sign up now!
Related posts
Non-Hodgkin Lymphoma
Burkitt Lymphoma
Gingival Cyst of the Adult
Nuclear Criteria of Malignancy.
Intussusception
Adult (autosomal dominant) polycystic kidney disease (ADPKD).
Sonographic Feature suggestive of malignancy
Huge Abdominal Cystic Lesion
Intussusception
Potentially malignant lesions
Recent MCQs
Show more MCQs
Recent flashcard sets
Show more flashcards
Feed
Learn
Add
Search
Discuss