Feed
Library
Learning
Discuss
Leaderboard
Journal
Sign in
Login
Sign up
Sign in
Feed
Library
Learning
Discuss
Leaderboard
Journal
Zunaira saleh
about 1 year ago
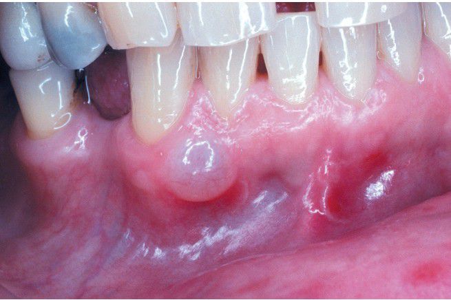
Gingival Cyst of the Adult
. Tense, fluid-filled swelling on the facial gingiva.
Cyst
Gingival
Adult
0
0
0
Other comments
Sign in
to post comments. You don't have an account?
Sign up now!
Related posts
Dentigerous cyst.
Resorption of tooth associated with a dentigerous cyst.
Development of a cyst
Dentigerous cyst.
Dentigerous cyst.
Keratinising odontogenic cyst.
Gingival cyst of adult
Nasopalatine cyst.
Sublingual dermoid cyst
Gingival abscess
Recent MCQs
Show more MCQs
Recent flashcard sets
Show more flashcards
Feed
Learn
Add
Search
Discuss