
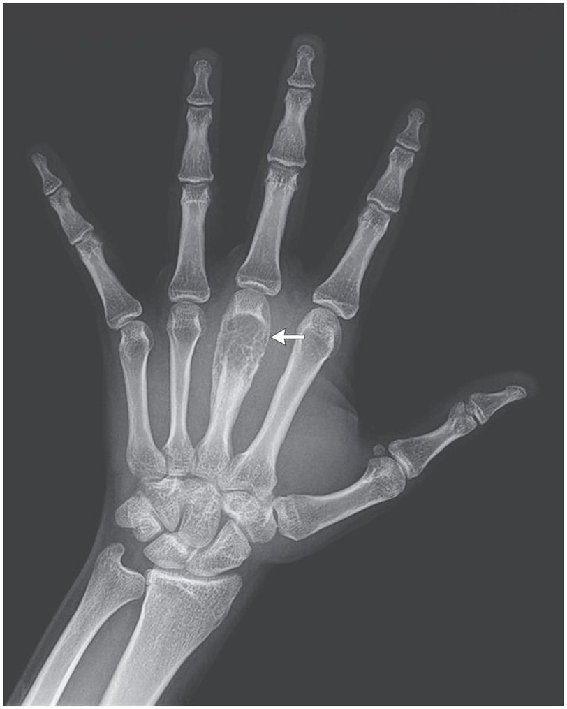
A 17-year-old boy was assessed because of a 2-month history of pain and swelling on the dorsal side of his left hand. The patient had visited Pakistan 6 months earlier. He had no known medical conditions and was not receiving medications. On physical examination, a hard and suppurative nodule was noted around the left third metacarpal. He had no fever or systemic symptoms, no lymphadenopathy, and no history of trauma. Results of serologic testing for the human immunodeficiency virus were negative. Radiography of the left hand revealed a slightly thinned cortex surrounding a lytic core with trabecular pieces on the third metacarpal bone (arrow); no periosteal reaction was seen. Chest radiography was normal. Ziehl–Neelsen staining of the exudate aspirated from the third metacarpal showed acid-fast bacilli, later identified as Mycobacterium tuberculosis in culture and a pan-sensitive isolate. For 2 months, he was treated with rifampin, isoniazid, ethambutol, and pyrazinamide, followed by 4 months of rifampin and isoniazid. He did not come to follow-up visits after completion of treatment because he had moved to Pakistan. Tuberculous dactylitis (also called spina ventosa) is a form of extrapulmonary M. tuberculosis infection, more common in children than in adults. Differential diagnoses include osteomyelitis, sarcoidosis, and bone neoplasms (e.g., enchondroma), which were considered in this case.