
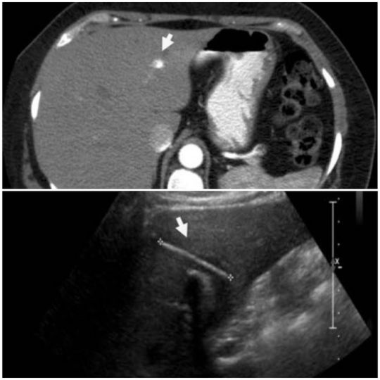
A 45-year-old woman was admitted to the emergency department for recurrent episodes of epigastric pain associated with fever (38.9°C), nausea, vomiting and hypotension. She was on parenteral broad-spectrum antibiotic for suspected intra-abdominal infection. A contrast CT of abdomen confirmed the presence of an elongated structure across the left lateral hepatic segments with abscess in the cavity. The patient was scheduled for an elective exploratory laparoscopy and possible extraction of the foreign body. At the time of surgery, she was found to have inflammation and adhesions between the omentum and the gallbladder. A laparoscopic cholecystectomy was performed. After the 6 months from her surgery, the patient continues to feel well and she denies the recurrence of any of her pre-operative symptoms.
I mean how she traumatized without sensing!
it penetrated through GIT wall and then migrated towards the liver as it was having sharp end and then cause abscess there.
it penetrated through GIT wall as it was having the sharp end so it migrated towards the liver