MEDizzy
MEDizzy
AshleyCooper
AshleyCooperover 7 years ago
Radiology Quiz ☢️

Radiology Quiz ☢️

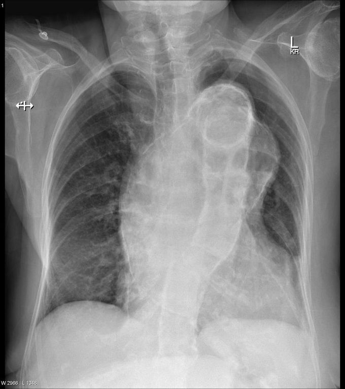
What is you spot diagnosis? Drop comment below. Answer coming soon...

Source: https://pl.pinterest.com/pin/861032022479750485/
80
Top rated comment
over 7 years ago

Answer: Horacic aneurysms!!! Horacic aneurysms are often identified incidentally on imaging of the chest. A symptomatic presentation may be due to mass effect on airway or oesophagus. Alternatively, they may present due to a complication, including rupture, aorto-bronchial or aorto-oesophageal fistulae.

Other commentsSign in to post comments. You don't have an account? Sign up now!
over 7 years ago

Diaphragmatic hernia

over 7 years ago

Hiatal hernia

over 7 years ago

Hiatus hernia Or an arotic dissection

over 7 years ago

Diaphragmatic Hernia

over 7 years ago

Cardiomegaly, or cardiac shift due to any reason

over 7 years ago

stomach entered into thorax through the diaphragm

over 7 years ago

Descending aortic aneurysm

over 7 years ago

diaphragmatic hernia

over 7 years ago

Massive Ascending Aortic Aneurysm

over 7 years ago

Diaphragmatic Hernia

Recent MCQs















Show more MCQs

Recent flashcard sets















Show more flashcards