MEDizzy
MEDizzy
Sharif
Sharifover 6 years ago
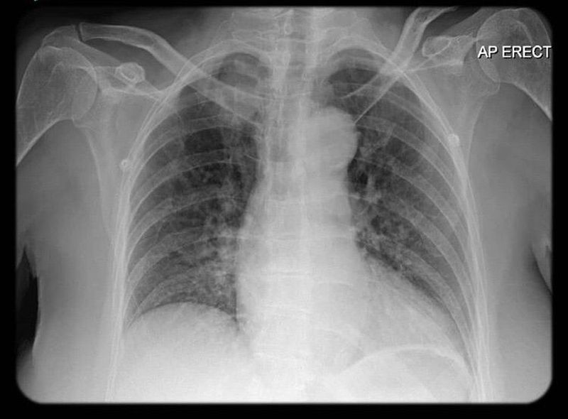
Whats your diagnosis??

Whats your diagnosis??

CXR

15
Top rated comment
over 6 years ago

Mediastinal mass

Other commentsSign in to post comments. You don't have an account? Sign up now!

Broken clavicle

over 6 years ago

Is left lower lobe collapsed and left clavicle dislocated?

over 6 years ago

Mediastinitis

over 6 years ago

Be sure to look carefully!

over 6 years ago

Can you put the answer please?

over 6 years ago

The prominent aortic button may indicate hypertension, in a patient with bad habits and / or genetic predisposition an adenocarcinoma in the colon may cause paraneoplastic vasculitis causing the edema in the lung.

over 6 years ago

finally what is the correct answer?

over 6 years ago

Ap view

over 6 years ago

Whats the answer?

over 6 years ago

tapvc?

12

Recent MCQs















Show more MCQs

Recent flashcard sets















Show more flashcards