
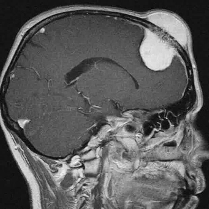
These are rare bone (osseous) tumors that constitute less than 1% of all bone tumors. They're classified as benign, slow-growing tumors of vascular nature (hence the name hemangioma), that originate and expand inside bone structures. Although found in any bone, seventy-five percent of intraosseous hemangiomas are located in the vertebral bodies (especially the thoracic spine), skull (involved outer table, normal inner table), and facial bones. Vertebral body hemangiomas are usually asymptomatic and left untreated. Sometimes they are incidentally found in a patient with low back pain. They may develop a soft tissue mass which may lead to neurologic symptoms like pain and numbness. A CT or MRI is used to diagnose and define the epidural extent.Photo credit : @brainpage