MEDizzy
MEDizzy
Pegasus MD
Pegasus MDover 6 years ago
Title

Title

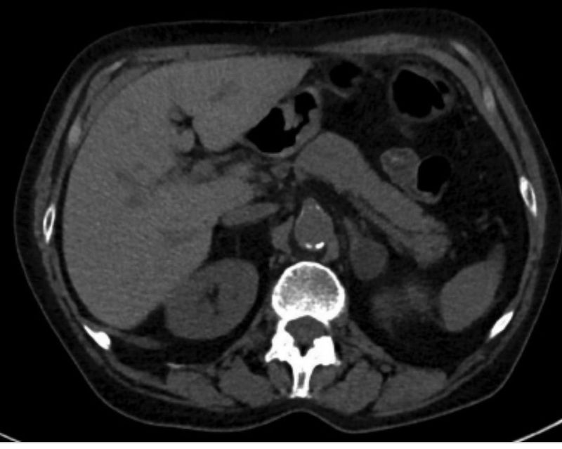
What do you see

15
Other commentsSign in to post comments. You don't have an account? Sign up now!
over 6 years ago

Pneumobilia?

over 6 years ago

Incorrect

over 6 years ago

Ok, it’s a bit hard, focus on retroperitoneal region mignopion😊

over 6 years ago

something medial to rt. kidney??blood?

over 6 years ago

Look to opposite side 😉

over 6 years ago

Something with vertebrae

over 6 years ago

Not a bone problem

over 6 years ago

that break in continuity of the wall behind kidney? ...though there also seems some calcification in aorta

over 6 years ago

We don’t operate patients for aort calcification, so what’s happening here😊?

over 6 years ago

doc suspense is killin me ....is it aortic dissection ?

over 6 years ago

Noo

over 6 years ago

retroperitonial perforation ?

over 6 years ago

Nooo🙀

over 6 years ago

dil. intrahepatic ducts ?

over 6 years ago

No🙀

over 6 years ago

Spleenomegaly

over 6 years ago

🙀no

over 6 years ago

Intraperitoneal hemorrhage, mostly on the right side.

12

Recent MCQs















Show more MCQs

Recent flashcard sets















Show more flashcards