Feed
Library
Learning
Discuss
Leaderboard
Journal
Sign in
Login
Sign up
Sign in
Feed
Library
Learning
Discuss
Leaderboard
Journal
TH
Tamer Hwamdeh
almost 8 years ago
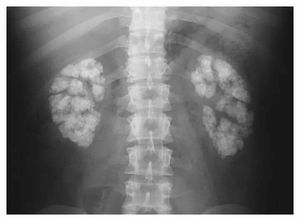
What’s this diagnosis
Diagnosis
Radiology
Xray
Ophthalmology
Vertebrae
show 1 more
558
3
1
Top rated comment
Shahyawer
almost 8 years ago
Primary hyperoxaluria
0
Reply
Other comments
Sign in
to post comments. You don't have an account?
Sign up now!
JK
Johan Koets
almost 8 years ago
a lot of Kidney stones
1
Reply
Shahyawer
almost 8 years ago
Multiple renal stones
1
Reply
Related posts
Glaucoma
Effects of sugar on teeth
Principles of investigation and diagnosis
Chest X-Rays
Immunostaining diagnosis
Immunostaining diagnosis
Lactose Intolerance Diagnosis
VRF Diagnosis
Supraventricular tachycardia- Diagnosis
Atrial Septal Defect- Diagnosis
Recent MCQs
Show more MCQs
Recent flashcard sets
Show more flashcards
Feed
Learn
Add
Search
Discuss