Feed
Library
Learning
Discuss
Leaderboard
Journal
Sign in
Login
Sign up
Sign in
Feed
Library
Learning
Discuss
Leaderboard
Journal
Dr. A.P.S.Chhabra
almost 8 years ago
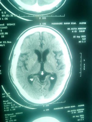
MRI Brain
What do this MRI shows??
Brain
Diagnosis
Neurology
Mri
2
1
4
Top rated comment
MJ
Maria Jose
almost 8 years ago
Sarcoidosis
1
Reply
Other comments
Sign in
to post comments. You don't have an account?
Sign up now!
Related posts
Immunostaining diagnosis
Immunostaining diagnosis
Neurofibromatosis
Lactose Intolerance Diagnosis
Brain Blood Supply
Absence seizures
Symptoms of absence seizures
VRF Diagnosis
Supraventricular tachycardia- Diagnosis
Atrial Septal Defect- Diagnosis
Recent MCQs
Show more MCQs
Recent flashcard sets
Show more flashcards
Feed
Learn
Add
Search
Discuss