
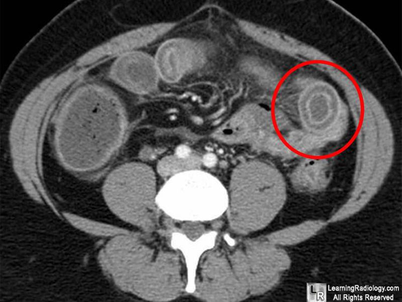
In which disease we see that? 1.appendicitis 2.diverticulitis 3. intussusception 4.colon obstruction
Any inflammatory pathology of bowel wall such as Crohn’s disease, ischemic colitis, radiation induced colitis, ulcerative colitis or C. difficile colitis.