
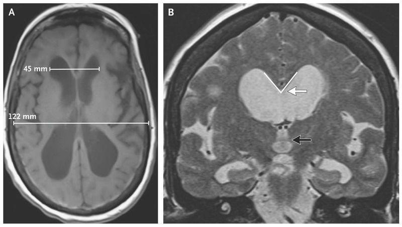
A 70-year-old woman presented to the neurology clinic with a 2-year history of gait disturbance, cognitive impairment, and urinary incontinence. Examination revealed a Mini–Mental State Examination (MMSE) score of 12 (on a scale of 0 to 30, with higher scores representing better performance) and a short-stepped, narrow-based, nonataxic gait. The patient walked 7.6 m in 31 seconds (Video 1). Magnetic resonance imaging revealed ballooning of the ventricles, with an Evan’s ratio (the ratio of the width of the frontal horns of the lateral ventricles [45 mm in this patient] to the internal diameter of the skull [122 mm]) of 0.37 (upper limit of the normal range, 0.31) (Panel A). The callosal angle (Panel B, white arrow) — the angle (outlined in white) between the lateral ventricles measured at the level of the posterior commissure (black arrow) on a coronal plane perpendicular to a line between the anterior and posterior commissures — was less than 90 degrees (reference range, 100 to 120). A lumbar puncture revealed a normal opening pressure, a finding consistent with normal-pressure hydrocephalus. Normal-pressure hydrocephalus classically manifests with urinary incontinence, gait disturbance, and dementia. Surgical shunting of cerebrospinal fluid is the main treatment method. A ventriculoperitoneal shunt was placed, which led to a marked improvement in the patient’s gait 6 months after shunt placement, she walked 7.6 m in 6 seconds. The MMSE score increased to 20 points at 1 month, with resolution of urinary incontinence, and increased to 28 points at 6 months.