Feed
Library
Learning
Discuss
Leaderboard
Journal
Sign in
Login
Sign up
Sign in
Feed
Library
Learning
Discuss
Leaderboard
Journal
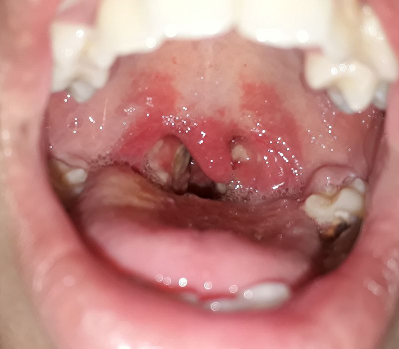
Dr Abdul Wajid
almost 2 years ago
ENT case
Follicular Tonsillitis
Surgery
Tonsillitis
Follicular
20
0
6
Other comments
Sign in
to post comments. You don't have an account?
Sign up now!
Related posts
Endotracheal Intubation
Causes of lump in armpit
Lipoma
Surgical process for apicoectomy
Surgical process for apicoectomy
Surgical process for apicoectomy
Condylectomy
Tmj ankylosis grading
Condylectomy
BurnSlim Official | Support Your Weight Management Journey
Recent MCQs
Show more MCQs
Recent flashcard sets
Show more flashcards
Feed
Learn
Add
Search
Discuss