MEDizzy
MEDizzy
L
Lukeover 6 years ago
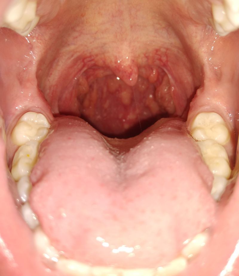
Does anyone know what this could be,  lasting months now

Does anyone know what this could be, lasting months now

550
Other commentsSign in to post comments. You don't have an account? Sign up now!
over 6 years ago

HIV infection

over 6 years ago

Dull*

over 6 years ago

Its a full pain, usually worsen when waking up in the mornings

over 6 years ago

What about duration !! .. is there fever ?

over 6 years ago

No fever

over 6 years ago

Could b Pharyngitis??

over 6 years ago

Cobblestone throat ,lymphoid tissue pockets

over 6 years ago

Cobble stoning? Post nasal drip?

Recent MCQs















Show more MCQs

Recent flashcard sets















Show more flashcards