
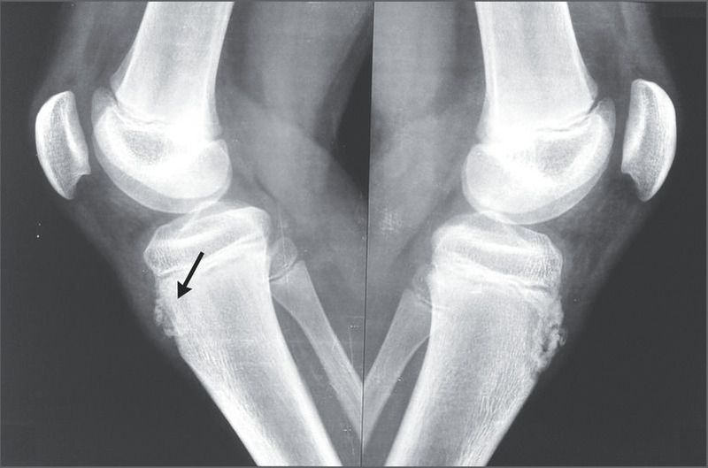
A 13-year-old boy presented to the orthopedic clinic with a 1-week history of pain in both knees. He was active in sports and had participated in the long jump during the previous 6 months. He reported no specific trauma, fever, or other joint symptoms. A physical examination of the right knee showed mild soft-tissue swelling and tenderness over the tibial tubercle, and the right quadriceps muscle was taut. The left knee was normal. Plain radiographs of both knees, which were obtained to rule out an avulsion fracture given the patient’s history of participation in the long jump, showed sclerosis and fragmentation of the tibial tubercle in both knees, with soft-tissue swelling on the right knee (arrow). These characteristic findings led to a diagnosis of Osgood–Schlatter disease, or osteochondrosis of the tibial tubercle, caused by repetitive traction of the patellar tendon at its attachment on the tibial tubercle. Osgood–Schlatter disease typically occurs during the early adolescent growth spurt between 10 and 15 years of age, particularly in children who participate in sports that involve running and jumping. Most cases resolve with supportive treatment. The patient received treatment with ice and nonsteroidal antiinflammatory drugs and was provided with instructions for stretching and strengthening exercises for the quadriceps and hamstring muscles. At a follow-up visit 3 weeks later, the patient reported less pain but stated that he chose not to resume participation in the long jump.
I was dx at 8yo. It later developed into Chondromalasia in one knee. Just turn 36yo & it still hinders me at times