
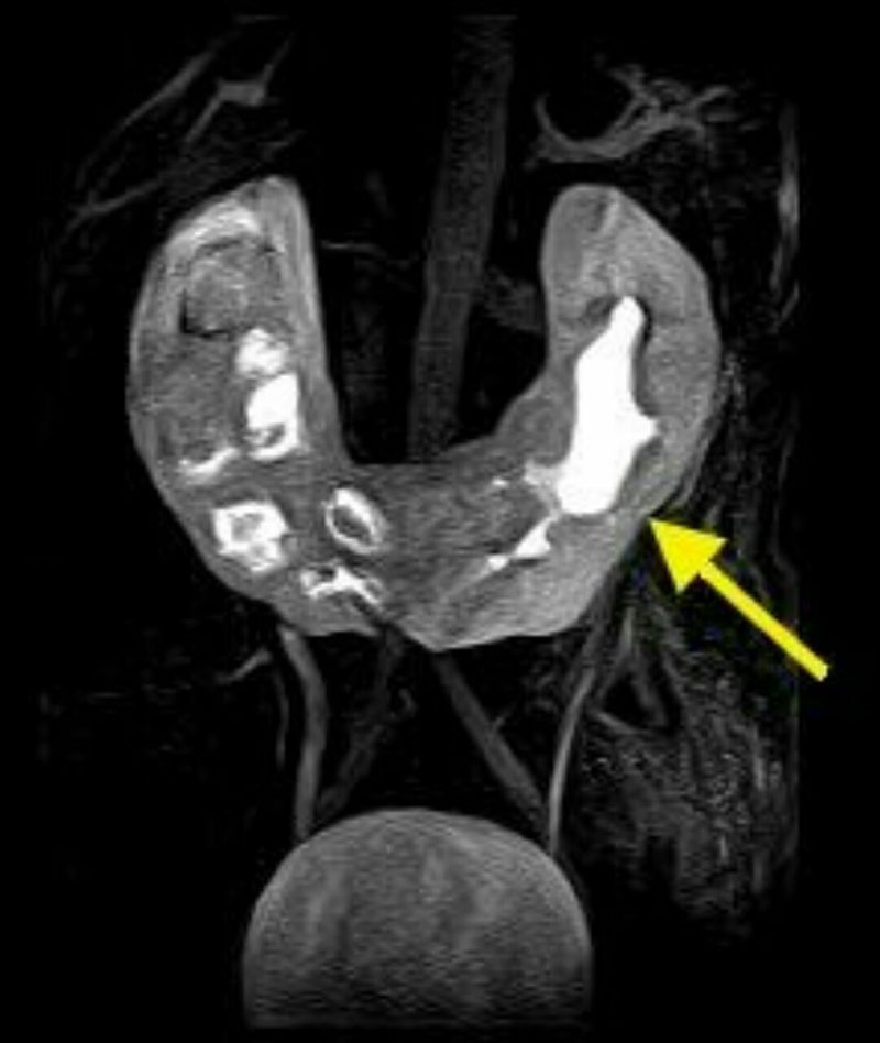
Horseshoe kidney, also known as renal fusion is a congenital disorder affecting about 1 in 500 people that is more common in men, often asymptomatic, and usually diagnosed incidentally. In this disorder, the patient's kidneys fuse together to form a horseshoe - shape during development in the womb. The fused part is the isthmus of the horseshoe kidney.