Feed
Library
Learning
Discuss
Leaderboard
Journal
Sign in
Login
Sign up
Sign in
Feed
Library
Learning
Discuss
Leaderboard
Journal
Zunaira saleh
11 months ago
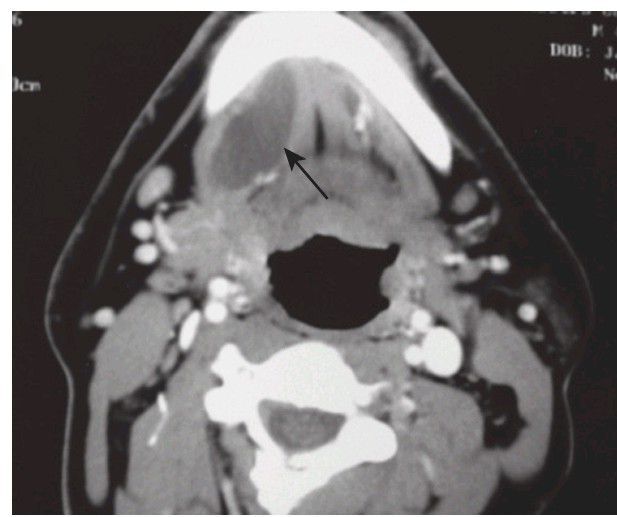
Ranula
Right plunging ranula through the mylohyoid muscle seen on computed tomography scan (arrow)
Surgery
Ctscan
Ranula
0
0
0
Other comments
Sign in
to post comments. You don't have an account?
Sign up now!
Related posts
Endotracheal Intubation
Causes of lump in armpit
Lipoma
Surgical process for apicoectomy
Surgical process for apicoectomy
Surgical process for apicoectomy
Condylectomy
Tmj ankylosis grading
Condylectomy
BurnSlim Official | Support Your Weight Management Journey
Recent MCQs
Show more MCQs
Recent flashcard sets
Show more flashcards
Feed
Learn
Add
Search
Discuss