Feed
Library
Learning
Discuss
Leaderboard
Journal
Sign in
Login
Sign up
Sign in
Feed
Library
Learning
Discuss
Leaderboard
Journal
Basharat Ullah Baz
almost 8 years ago
Diagnosis
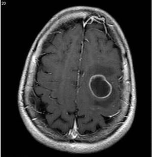
What is this??
Medical
Diagnosis
Treatment
Carcinoma
Tumors
show 1 more
1
1
2
Top rated comment
Jawad Shirzad
almost 8 years ago
CVA
0
Reply
Other comments
Sign in
to post comments. You don't have an account?
Sign up now!
Related posts
Metastatic carcinoma in the mandible
Verrucous carcinoma
Kaposi’s sarcoma.
Lactose Intolerance Diagnosis
VRF Diagnosis
Supraventricular tachycardia- Diagnosis
Patent Ductus Arteriosus- Treatment
Atrial Septal Defect- Diagnosis
Epidermolysis Bullosa-Treatment
Acromegaly - Treatment
Recent MCQs
Show more MCQs
Recent flashcard sets
Show more flashcards
Feed
Learn
Add
Search
Discuss