MEDizzy
MEDizzy
Swarna Sivakumar
Swarna Sivakumarover 6 years ago
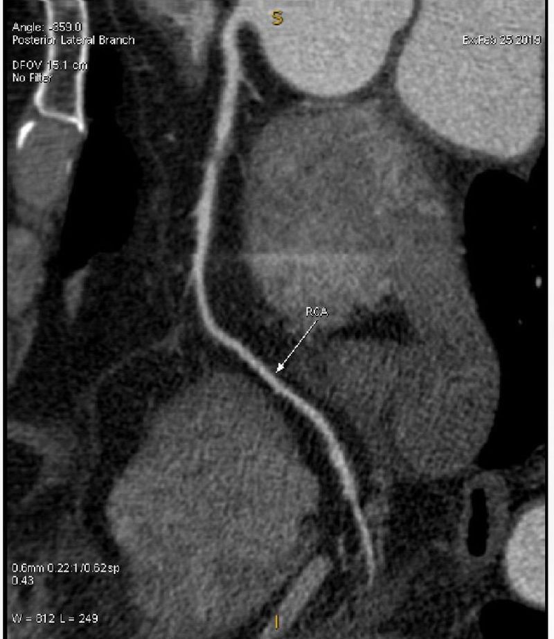
Angiogram of MI patient after EECP treatment

Angiogram of MI patient after EECP treatment

After taking the usual stuff of medications plus enhanced external counter pulsation (eecp) treatment the angiogram appears normal with minimal blocks... EECP works well!!! What do u all think about this noninvasive treatment?! Comment pls!

17
Top rated comment
over 6 years ago

Awesome.....proof is in the picture!

Other commentsSign in to post comments. You don't have an account? Sign up now!

Recent MCQs















Show more MCQs

Recent flashcard sets















Show more flashcards