
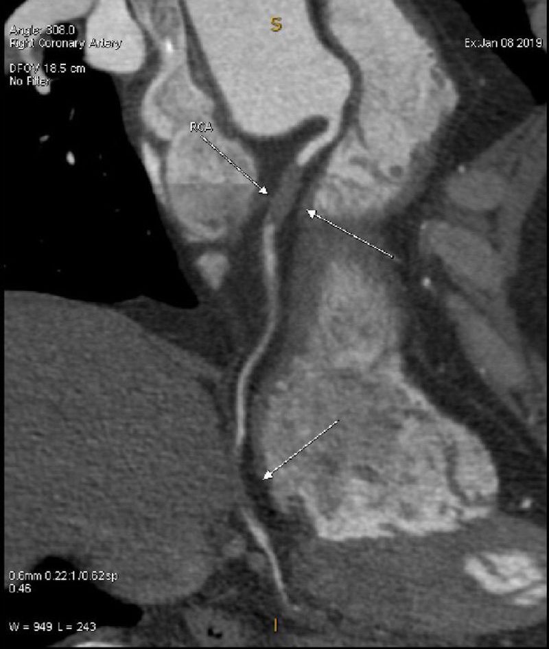
This is the angiogram which was done on the day of heart attach!!! Which says 100% block in the RCA but how come the flow of blood comes way down ?! đ¤ please give me your valuable comments ...
Looks like a Cardiac CT. If you have 10mm MIP and/or VRT for that scan, it would help a lot.