MEDizzy
MEDizzy
Mohamed Eldabous
Mohamed Eldabousover 6 years ago
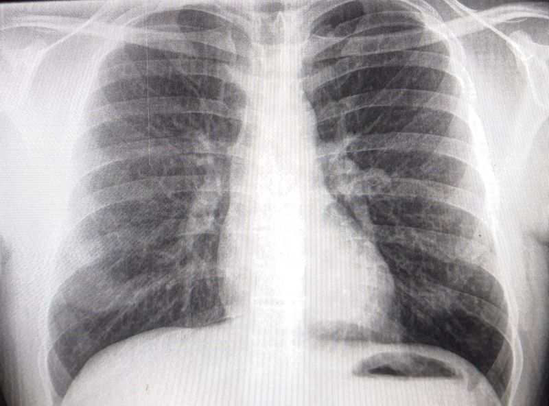
Your diagnosis ??

Your diagnosis ??

Chest X-ray

564
Top rated comment
over 6 years ago

Left lower zone looks darker? Is that a gastric bubble on the left or pneumperitoneum from maybe a perforated peptic ulcer?

over 6 years ago

That's a gastric bubble. In pneumoperitoneum you can see liver contour on the right.

Other commentsSign in to post comments. You don't have an account? Sign up now!
over 6 years ago

Is it right pulmonary artery htn

over 6 years ago

Can you say what you see ??

over 6 years ago

Atelectasis right lower lobe? 🤔

over 6 years ago

NoOo

over 6 years ago

Normal x ray

Normal CXR.

over 6 years ago

Pulmonary HTN

over 6 years ago

Perforated peptic ulcer

over 6 years ago

No

over 6 years ago

Bronchopneumonia

over 6 years ago

Pneumonia

over 6 years ago

NAD

Recent MCQs















Show more MCQs

Recent flashcard sets















Show more flashcards