MEDizzy
MEDizzy
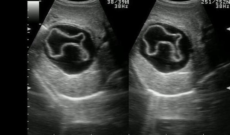
Radiology: Water Lily Sign

Radiology: Water Lily Sign

It is the USG appearance of hydatid cyst. The inner layer of cyst may separate from outer layer & appears as a Serpentine structure inside of cyst.

37
Other commentsSign in to post comments. You don't have an account? Sign up now!

Recent MCQs















Show more MCQs

Recent flashcard sets















Show more flashcards