MEDizzy
MEDizzy
Dr.FS
Dr.FSover 6 years ago
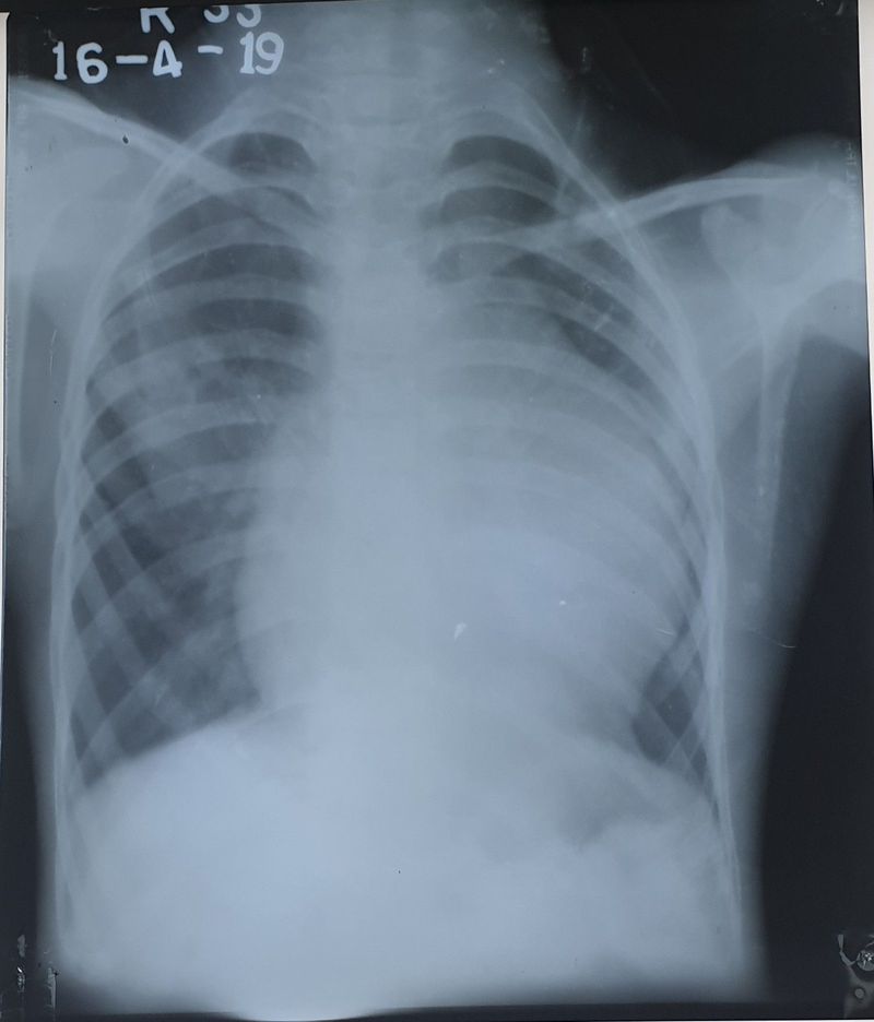
What's your diagnose ?

What's your diagnose ?

A patient age 12 year old male patient come with C/o of weakness weight lose , with anorexia i recommended for chest x-ray now i found this? Cardio megaly .

19
Other commentsSign in to post comments. You don't have an account? Sign up now!
over 6 years ago

CXR - Ebstein anomaly

over 6 years ago

Does he have cyanosis too?

over 6 years ago

No he have not

Recent MCQs















Show more MCQs

Recent flashcard sets















Show more flashcards