
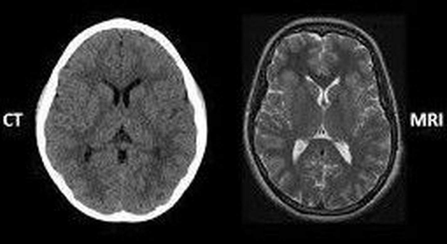
How to differentiate between ct and MRI of brain 1- in MRI Imaging you can see details of bain tissue but in CT Scan you cant and in CT you just see some Gray and White thigns 2- in CT Scan The Bony Skull is prominent White But in MRI it is not like this 3- in CT Scan Brain Tissue Appears as Tight Attached to The White Bone But in MRI Image, There is a Black Space Around Brain