
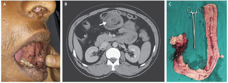
A 45-year-old man presented to the emergency department with sudden-onset abdominal pain and vomiting. On physical examination, his abdomen was diffusely tender, and he had hyperpigmented macules on the lips, oral mucosa, and nose (Panel A). His two sons had previously presented with abdominal pain due to intussusception and had undergone bowel resection. A computed tomographic scan of the patient’s abdomen showed a target sign (Panel B, arrow), which is characteristic of intussusception. Emergency laparotomy confirmed the presence of jejunojejunal intussusception with areas of necrosis. Multiple polyps were palpated throughout this section of the bowel. Because of the necrosis and concern about recurrence, the length of jejunum that contained polyps was resected (Panel C), and end-to-end anastomosis was performed. Histopathological evaluation of the resected segment revealed multiple hamartomatous polyps. On the basis of the mucocutaneous hyperpigmentation, multiple hamartomatous polyps in the gastrointestinal tract, and family history, a diagnosis of the Peutz–Jeghers syndrome was made. This autosomal dominant disorder is associated with an increased risk of gastrointestinal and extraintestinal cancers. The patient recovered well after the surgery and has undergone appropriate cancer-screening tests, which have been negative to date.