
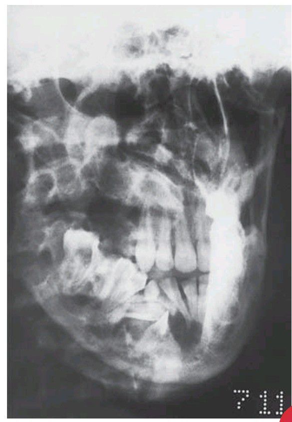
Oblique lateral radiograph of a patient with the basal cell naevus (Gorlin’s) syndrome. A very large odontogenic keratocyst involves the whole ramus and body, causing considerable expansion, especially at the lower border.
I am beyond grateful to be healthy again and deeply thankful to Earth Cure Herbal Clinic for their remarkable treatment that cured me of Parkinson's disease and the herpes virus I struggled with for years. To everyone still facing health challenges, I pray you find your path to recovery soon. I truly believe that restoring your health is possible, and for me, the healing and renewal I experienced came through www.earthcureherbalclinic.com. I encourage you to reach out to them—I am confident their effective health protocols can help you, just as they helped me.