
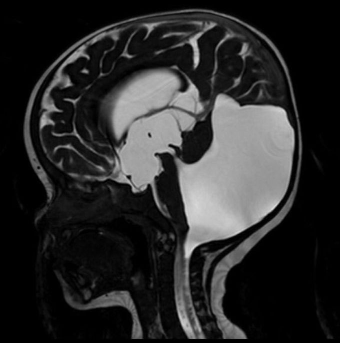
Dandy-Walker malformation (DWM) is the most common posterior fossa malformation, characterised by the triad of: 1. hypoplasia of the vermis and cephalad rotation of the vermian remnant 2. cystic dilatation of the fourth ventricle extending posteriorly 3. enlarged posterior fossa with torcula-lambdoid inversion (torcula lying above the level of the lambdoid due to abnormally high tentorium)