Feed
Library
Learning
Discuss
Leaderboard
Journal
Sign in
Login
Sign up
Sign in
Feed
Library
Learning
Discuss
Leaderboard
Journal
Nuclear Medicine
almost 8 years ago
Xray
Fractures
Metatarsus
2
2
0
Other comments
Sign in
to post comments. You don't have an account?
Sign up now!
DS
Dr. Shalini
almost 8 years ago
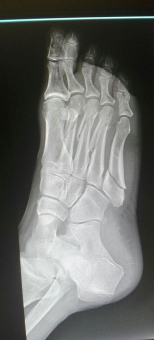
Multiple # 2,3,4 MT head to shaft displace +,5th base#
1
Reply
DS
Dr. Shalini
almost 8 years ago
Rx ORIF
1
Reply
Related posts
Mesenchymal Chondrosarcoma.
Identify the Pathology
Ankle X-ray Anatomy
Lateral Ankle X-ray Anatomy
Pediatric Ankle X-ray Anatomy
Hip X-ray Anatomy
Lateral Hip X-ray Anatomy
Pelvic X-ray Anatomy
Fractures
Chest X-Rays
Recent MCQs
Show more MCQs
Recent flashcard sets
Show more flashcards
Feed
Learn
Add
Search
Discuss