MEDizzy
MEDizzy
Sheeza Basharat
Sheeza Basharatabout 1 year ago
Identify the Pathology

Identify the Pathology

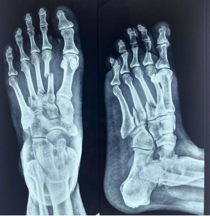
Identify the Pathology in the x-ray above.

1
Top rated comment
about 1 year ago

This is a trauma case w/ multiple fractures both posterior & lateral of the bridge & instep w/ multiple tore ligaments & likely 95% past medical history of arthritis and benign bone neoplasm of bilateral sesamoid bones.

Other commentsSign in to post comments. You don't have an account? Sign up now!

Recent MCQs















Show more MCQs

Recent flashcard sets















Show more flashcards