Feed
Library
Learning
Discuss
Leaderboard
Journal
Sign in
Login
Sign up
Sign in
Feed
Library
Learning
Discuss
Leaderboard
Journal
Zunaira saleh
about 1 year ago
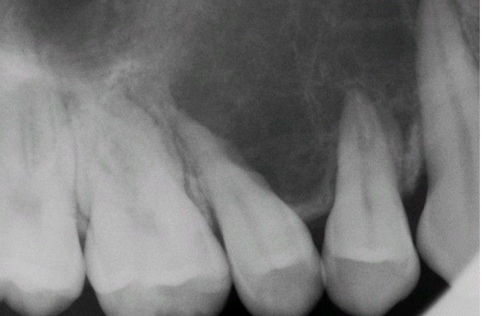
Mesenchymal Chondrosarcoma.
Periapical radiograph showing an ill-defined radiolucency with associated root resorption.
Xray
Chondrosarcoma
Mesenchymal
0
0
0
Other comments
Sign in
to post comments. You don't have an account?
Sign up now!
Related posts
Ankle X-ray Anatomy
Lateral Ankle X-ray Anatomy
Pediatric Ankle X-ray Anatomy
Hip X-ray Anatomy
Lateral Hip X-ray Anatomy
Pelvic X-ray Anatomy
Chondrosarcoma
Chondrosarcoma
Differentiation pathways of mesenchymal cells
Chest X-Rays
Recent MCQs
Show more MCQs
Recent flashcard sets
Show more flashcards
Feed
Learn
Add
Search
Discuss